Top.Mail.Ru
Назад

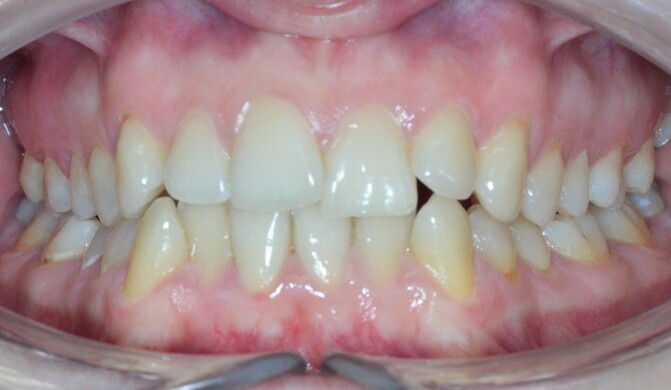
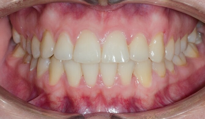
Исправление скученности зубов - лечение

Исправление скученности зубов Исправление скученности зубов
Возраст пациента
26 лет
Длительность лечения
1,5 года
Стоимость лечения
250 000₽
Скученность зубов.

Стандартное ортодонтическое лечение.

Исправление скученности зубов
Исправление скученности зубов
Исправление скученности зубов
Исправление скученности зубов
Исправление скученности зубов
Исправление скученности зубов
Исправление скученности зубов
Исправление скученности зубов
Исправление скученности зубов
Исправление скученности зубов

Наши видео по теме

Наши видео по теме

Чем чистить зубы с брекетами?
Чем чистить зубы с брекетами?
Где купить и что выбрать?
Как выжить с брекетами?
Как выжить с брекетами?
10 советов ортодонта
Какие выбрать брекеты?
Какие выбрать брекеты?
Лигатурные vs самолигирующиеся
Что будет если не ставить брекеты?
Что будет если не ставить брекеты?
8 факторов риска
Запишитесь на приём
Через удобный мессенджер — ответим за 15 секунд!
Или оставьте контакты, и мы сами перезвоним
в ближайшее время
Запишитесь на приём
Через удобный мессенджер — ответим за 15 секунд!
Или оставьте контакты, и мы сами перезвоним
в ближайшее время
Написать директору
Если у вас есть вопрос, претензия или предложение к руководству клиники, оставьте своё сообщение в этой форме
Или свяжитесь с нами прямо сейчас
Запишитесь
на бесплатный приём
Через удобный мессенджер — ответим за 15 секунд!
Проконсультируем вас
и зафиксируем скидку

Благодарим за доверие, Orteam ждёт вас с нетерпением!

Мы свяжемся с вами в течение 12 часов, указанным способом.

Ответим на все вопросы и подберём удобное время для консультации.

Планируете ортодонтическое лечение?

Не забудьте подписаться на нашу рассылку и узнать всё самое важное о брекетах и элайнерах за 1 минуту в день.

Добро пожаловать!

Подтвердите, что вы человек. Просто нажмите кнопку "Продолжить"