Назад

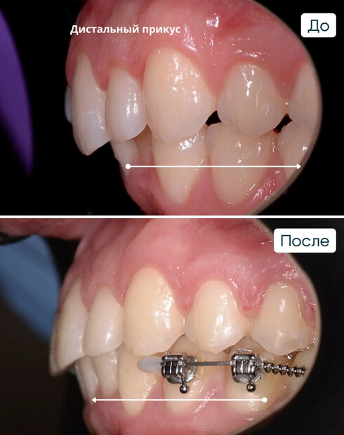
Ортодонтическая подготовка к имплантации при дистальном глубоком прикусе

Ортодонтическая подготовка к имплантации при дистальном глубоком прикусе
Ортодонтическая подготовка к имплантации при дистальном глубоком прикусе
Ортодонтическая подготовка к имплантации при дистальном глубоком прикусе
Ортодонтическая подготовка к имплантации при дистальном глубоком прикусе
Ортодонтическая подготовка к имплантации при дистальном глубоком прикусе
Возраст пациента
26 лет
Длительность лечения
1,2 года
Стоимость лечения
300 000
Пациент обратился со скученностью зубов и отсутствием жевательных зубов в боковых отделах. Планировал имплантацию и ортопедическое лечение.

Диагностика показала:

 

Дистальный глубокий прикус
Скученность зубов верхнего и нижнего зубных рядов
— Дефицит места в зонах планируемой имплантации

— Нарушение окклюзионных контактов

 

Проведённое лечение

 

Ортодонтическая коррекция прикуса
✔ Устранение скученности зубов
✔ Нормализация смыкания зубов
Формирование адекватного пространства в области отсутствующих зубов для последующей имплантации

 

Результат

 

— Скорректирован дистальный глубокий прикус
— Восстановлены правильные окклюзионные контакты для распределения жевательной нагрузки
— Подготовлены оптимальные условия для установки имплантатов и протезирования керамическими коронками.

Кейсы по теме

Исправление скученности зубов и перекрёстного прикуса на брекетах
Исправление скученности зубов и перекрёстного прикуса на брекетах

Исправление скученности зубов и перекрёстного прикуса на брекетах

cases
Возраст пациента
30 лет
cases
Длительность лечения
1.8 года
cases
Стоимость лечения
287 000₽
Смотреть кейс
Ортодонтическая коррекция скученности зубов
Ортодонтическая коррекция скученности зубов

Ортодонтическая коррекция скученности зубов

cases
Возраст пациента
28 лет
cases
Длительность лечения
2 года
cases
Стоимость лечения
305 000₽
Смотреть кейс
Ортодонтическая компенсация скелетного дистального прикуса без операции
Ортодонтическая компенсация скелетного дистального прикуса без операции

Ортодонтическая компенсация скелетного дистального прикуса без операции

cases
Возраст пациента
30 лет
cases
Длительность лечения
1 год 10 мес
cases
Стоимость лечения
300 000₽
Смотреть кейс
Ортодонтическое закрытие промежутка и создание пространства под имплантацию
Ортодонтическое закрытие промежутка и создание пространства под имплантацию

Ортодонтическое закрытие промежутка и создание пространства под имплантацию

cases
Возраст пациента
31 год
cases
Длительность лечения
2,1 года
cases
Стоимость лечения
310 000₽
Смотреть кейс
Коррекция скученности зубов и соотношения центральных линий
Коррекция скученности зубов и соотношения центральных линий

Коррекция скученности зубов и соотношения центральных линий

cases
Возраст пациента
26 лет
cases
Длительность лечения
1,5 года
cases
Стоимость лечения
320 000
Смотреть кейс
Исправление глубокого перекрытия и скученности зубов
Исправление глубокого перекрытия и скученности зубов

Исправление глубокого перекрытия и скученности зубов

cases
Возраст пациента
39 лет
cases
Длительность лечения
3 года
cases
Стоимость лечения
245 000₽
Смотреть кейс
Лечение скученности зубов с дистализацией двух сегментов
Лечение скученности зубов с дистализацией двух сегментов

Лечение скученности зубов с дистализацией двух сегментов

cases
Возраст пациента
34 года
cases
Длительность лечения
2,5 года
cases
Стоимость лечения
250 000₽
Смотреть кейс
Коррекция прямого прикуса во фронтальном отделе и скученности зубов, фото до и после
Коррекция прямого прикуса во фронтальном отделе и скученности зубов

Коррекция прямого прикуса во фронтальном отделе и скученности зубов

cases
Возраст пациента
32 года
cases
Длительность лечения
1,2 года
cases
Стоимость лечения
350 000₽
Смотреть кейс
Ортодонтическое лечение скелетного дистального прикуса, скученности зубных рядов
Ортодонтическое лечение скелетного дистального прикуса, скученности зубных рядов

Ортодонтическое лечение скелетного дистального прикуса, скученности зубных рядов

cases
Возраст пациента
23 года
cases
Длительность лечения
1,5 года
cases
Стоимость лечения
270 000₽
Смотреть кейс
Коррекция дистального глубокого прикуса, скученности и перекрестного соотношения  - фото до
Коррекция дистального глубокого прикуса, скученности и перекрестного соотношения в СПб, фото до и после, стоматология Orteam

Коррекция дистального глубокого прикуса, скученности и перекрестного соотношения в СПб, фото до и после, стоматология Orteam

cases
Возраст пациента
29 лет
cases
Длительность лечения
2,2 года
cases
Стоимость лечения
340 000₽
Смотреть кейс

Кейсы врача

Ортодонтическая коррекция скученности зубов
Ортодонтическая коррекция скученности зубов

Ортодонтическая коррекция скученности зубов

cases
Возраст пациента
28 лет
cases
Длительность лечения
2 года
cases
Стоимость лечения
305 000₽
Смотреть кейс
Ортодонтическая компенсация скелетного дистального прикуса без операции
Ортодонтическая компенсация скелетного дистального прикуса без операции

Ортодонтическая компенсация скелетного дистального прикуса без операции

cases
Возраст пациента
30 лет
cases
Длительность лечения
1 год 10 мес
cases
Стоимость лечения
300 000₽
Смотреть кейс
Подготовка к имплантации нижних пятёрок на элайнерах
Подготовка к имплантации нижних пятёрок на элайнерах

Подготовка к имплантации нижних пятёрок на элайнерах

cases
Возраст пациента
19 лет
cases
Длительность лечения
7 мес
cases
Стоимость лечения
370 000₽
Смотреть кейс
Исправление глубокого перекрытия и скученности зубов
Исправление глубокого перекрытия и скученности зубов

Исправление глубокого перекрытия и скученности зубов

cases
Возраст пациента
39 лет
cases
Длительность лечения
3 года
cases
Стоимость лечения
245 000₽
Смотреть кейс
Лечение скученности зубов с дистализацией двух сегментов
Лечение скученности зубов с дистализацией двух сегментов

Лечение скученности зубов с дистализацией двух сегментов

cases
Возраст пациента
34 года
cases
Длительность лечения
2,5 года
cases
Стоимость лечения
250 000₽
Смотреть кейс
Подготовка к протезированию и коррекция дистального глубокого прикуса - фото до
Подготовка к протезированию и коррекция дистального глубокого прикуса

Подготовка к протезированию и коррекция дистального глубокого прикуса

cases
Возраст пациента
37 лет
cases
Длительность лечения
1,5 года
cases
Стоимость лечения
300 000
Смотреть кейс
Коррекция избытка места на челюсти - фото до
Коррекция избытка места на челюсти

Коррекция избытка места на челюсти

cases
Возраст пациента
36 лет
cases
Длительность лечения
1,4 года
cases
Стоимость лечения
260 000₽
Смотреть кейс
Ортодонтическая подготовка к протезированию - фото до
Ортодонтическая подготовка к протезированию

Ортодонтическая подготовка к протезированию

cases
Возраст пациента
40 лет
cases
Длительность лечения
2,5 года
cases
Стоимость лечения
290 000
Смотреть кейс
Исправление глубокого прикуса и скученности - фото до
Исправление глубокого прикуса и скученности

Исправление глубокого прикуса и скученности

cases
Возраст пациента
25 лет
cases
Длительность лечения
2,3 года
cases
Стоимость лечения
280 000₽
Смотреть кейс
Коррекция выраженной скученности зубов - фото  до
Коррекция выраженной скученности зубов

Коррекция выраженной скученности зубов

cases
Возраст пациента
42 года
cases
Длительность лечения
2,3 года
Смотреть кейс
Запишитесь на приём
Через удобный мессенджер — ответим за 15 секунд!
Или оставьте контакты, и мы сами перезвоним
в ближайшее время
акции Акции Запись Запись Доктораt Врачи Record Кейсы
Через удобный мессенджер — ответим за 15 секунд!
Или оставьте контакты, и мы сами перезвоним
в ближайшее время
Написать директору
Если у вас есть вопрос, претензия или предложение к руководству клиники, оставьте своё сообщение в этой форме
Или свяжитесь с нами прямо сейчас
Запишитесь
на бесплатный приём
Через удобный мессенджер — ответим за 15 секунд!
Проконсультируем вас
и зафиксируем скидку

Благодарим за доверие, Orteam ждёт вас с нетерпением!

Мы свяжемся с вами в течение 12 часов, указанным способом.

Ответим на все вопросы и подберём удобное время для консультации.

Планируете ортодонтическое лечение?

Не забудьте подписаться на нашу рассылку и узнать всё самое важное о брекетах и элайнерах за 1 минуту в день.

Добро пожаловать!

Подтвердите, что вы человек. Просто нажмите кнопку "Продолжить"

Есть вопрос? Ответим за 10 секунд

Ассистент Orteam
Тим Онлайн
Ассистент Orteam
Задайте вопрос — ответим за 10 секунд
Помогу разобраться или подберу врача и удобное время
Telegram Max Max
Без записи и обязательств