Назад

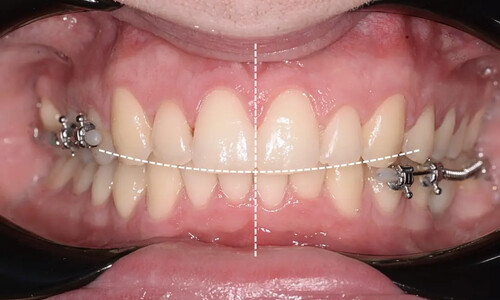
Ортодонтическое закрытие промежутка и создание пространства под имплантацию

Ортодонтическое закрытие промежутка и создание пространства под имплантацию
Ортодонтическое закрытие промежутка и создание пространства под имплантацию
Ортодонтическое закрытие промежутка и создание пространства под имплантацию
Ортодонтическое закрытие промежутка и создание пространства под имплантацию
Возраст пациента
31 год
Длительность лечения
2,1 года
Стоимость лечения
310 000₽
Пациентка обратилась с неудовлетворённостью эстетикой улыбки и наличием отсутствующих зубов в боковых отделах.

Диагностика

 

— Дефекты зубных рядов
Скученность зубов
— Эстетический дисбаланс в зоне улыбки
— Необходимость подготовки к последующей имплантации

 

Проведённое лечение

 

Ортодонтическая коррекция положения зубов
✔ Закрытие промежутка в 1 сегменте — перераспределение пространства без протезирования в данной области
✔ Создание адекватного места под имплантацию в позициях 25 и 45 с учётом будущего ортопедического этапа
✔ Контроль окклюзионных контактов и межчелюстных соотношений

 

Результат

 

— Улучшена эстетика улыбки
— Рационально перераспределено пространство зубных рядов
— Сформированы оптимальные условия для установки имплантатов в зонах 25 и 45

Кейсы по теме

Исправление скученности зубов и перекрёстного прикуса на брекетах
Исправление скученности зубов и перекрёстного прикуса на брекетах

Исправление скученности зубов и перекрёстного прикуса на брекетах

cases
Возраст пациента
30 лет
cases
Длительность лечения
1.8 года
cases
Стоимость лечения
287 000₽
Смотреть кейс
Ортодонтическая коррекция скученности зубов
Ортодонтическая коррекция скученности зубов

Ортодонтическая коррекция скученности зубов

cases
Возраст пациента
28 лет
cases
Длительность лечения
2 года
cases
Стоимость лечения
305 000₽
Смотреть кейс
Ортодонтическая компенсация скелетного дистального прикуса без операции
Ортодонтическая компенсация скелетного дистального прикуса без операции

Ортодонтическая компенсация скелетного дистального прикуса без операции

cases
Возраст пациента
30 лет
cases
Длительность лечения
1 год 10 мес
cases
Стоимость лечения
300 000₽
Смотреть кейс
Ортодонтическая подготовка к имплантации при дистальном глубоком прикусе
Ортодонтическая подготовка к имплантации при дистальном глубоком прикусе

Ортодонтическая подготовка к имплантации при дистальном глубоком прикусе

cases
Возраст пациента
26 лет
cases
Длительность лечения
1,2 года
cases
Стоимость лечения
300 000
Смотреть кейс
Коррекция скученности зубов и соотношения центральных линий
Коррекция скученности зубов и соотношения центральных линий

Коррекция скученности зубов и соотношения центральных линий

cases
Возраст пациента
26 лет
cases
Длительность лечения
1,5 года
cases
Стоимость лечения
320 000
Смотреть кейс
Исправление глубокого перекрытия и скученности зубов
Исправление глубокого перекрытия и скученности зубов

Исправление глубокого перекрытия и скученности зубов

cases
Возраст пациента
39 лет
cases
Длительность лечения
3 года
cases
Стоимость лечения
245 000₽
Смотреть кейс
Лечение скученности зубов с дистализацией двух сегментов
Лечение скученности зубов с дистализацией двух сегментов

Лечение скученности зубов с дистализацией двух сегментов

cases
Возраст пациента
34 года
cases
Длительность лечения
2,5 года
cases
Стоимость лечения
250 000₽
Смотреть кейс
Коррекция прямого прикуса во фронтальном отделе и скученности зубов, фото до и после
Коррекция прямого прикуса во фронтальном отделе и скученности зубов

Коррекция прямого прикуса во фронтальном отделе и скученности зубов

cases
Возраст пациента
32 года
cases
Длительность лечения
1,2 года
cases
Стоимость лечения
350 000₽
Смотреть кейс
Ортодонтическое лечение скелетного дистального прикуса, скученности зубных рядов
Ортодонтическое лечение скелетного дистального прикуса, скученности зубных рядов

Ортодонтическое лечение скелетного дистального прикуса, скученности зубных рядов

cases
Возраст пациента
23 года
cases
Длительность лечения
1,5 года
cases
Стоимость лечения
270 000₽
Смотреть кейс
Коррекция дистального глубокого прикуса, скученности и перекрестного соотношения  - фото до
Коррекция дистального глубокого прикуса, скученности и перекрестного соотношения в СПб, фото до и после, стоматология Orteam

Коррекция дистального глубокого прикуса, скученности и перекрестного соотношения в СПб, фото до и после, стоматология Orteam

cases
Возраст пациента
29 лет
cases
Длительность лечения
2,2 года
cases
Стоимость лечения
340 000₽
Смотреть кейс

Кейсы врача

Исправление скученности зубов и перекрёстного прикуса на брекетах
Исправление скученности зубов и перекрёстного прикуса на брекетах

Исправление скученности зубов и перекрёстного прикуса на брекетах

cases
Возраст пациента
30 лет
cases
Длительность лечения
1.8 года
cases
Стоимость лечения
287 000₽
Смотреть кейс
Коррекция скученности зубов и соотношения центральных линий
Коррекция скученности зубов и соотношения центральных линий

Коррекция скученности зубов и соотношения центральных линий

cases
Возраст пациента
26 лет
cases
Длительность лечения
1,5 года
cases
Стоимость лечения
320 000
Смотреть кейс
Коррекция диастемы и трем (промежутков) между зубами
Коррекция диастемы и трем (промежутков) между зубами

Коррекция диастемы и трем (промежутков) между зубами

cases
Возраст пациента
31 год
cases
Длительность лечения
2,1 года
cases
Стоимость лечения
270 000₽
Смотреть кейс
Коррекция прямого прикуса во фронтальном отделе и скученности зубов, фото до и после
Коррекция прямого прикуса во фронтальном отделе и скученности зубов

Коррекция прямого прикуса во фронтальном отделе и скученности зубов

cases
Возраст пациента
32 года
cases
Длительность лечения
1,2 года
cases
Стоимость лечения
350 000₽
Смотреть кейс
Коррекция дистального глубокого прикуса, скученности и перекрестного соотношения  - фото до
Коррекция дистального глубокого прикуса, скученности и перекрестного соотношения в СПб, фото до и после, стоматология Orteam

Коррекция дистального глубокого прикуса, скученности и перекрестного соотношения в СПб, фото до и после, стоматология Orteam

cases
Возраст пациента
29 лет
cases
Длительность лечения
2,2 года
cases
Стоимость лечения
340 000₽
Смотреть кейс
Лечение скученности зубов на элайнерах - фото до
Лечение скученности зубов на элайнерах

Лечение скученности зубов на элайнерах

cases
Возраст пациента
36 лет
cases
Длительность лечения
1,1 год
cases
Стоимость лечения
280 000₽
Смотреть кейс
Лечение скученности зубов и подготовка под имплантацию - фото до
Лечение скученности зубов и подготовка под имплантацию

Лечение скученности зубов и подготовка под имплантацию

cases
Возраст пациента
36 лет
cases
Длительность лечения
2 года
cases
Стоимость лечения
300 000
Смотреть кейс
Исправление дистального прикуса с вынужденным положением нижней челюсти - фото до
Исправление дистального прикуса с вынужденным положением нижней челюсти

Исправление дистального прикуса с вынужденным положением нижней челюсти

cases
Возраст пациента
33 года
cases
Длительность лечения
1,2 года
cases
Стоимость лечения
280 000₽
Смотреть кейс
Закрытие промежутка своими зубами без имплантации - фото до
Закрытие промежутка своими зубами без имплантации

Закрытие промежутка своими зубами без имплантации

cases
Возраст пациента
36 лет
cases
Длительность лечения
2,6 года
cases
Стоимость лечения
280 000₽
Смотреть кейс
Коррекция дистопии клыка и глубокого прикуса - фото до
Коррекция дистопии клыка и глубокого прикуса

Коррекция дистопии клыка и глубокого прикуса

cases
Возраст пациента
21 год
cases
Длительность лечения
2,6 года
cases
Стоимость лечения
280 000₽
Смотреть кейс
Запишитесь на приём
Через удобный мессенджер — ответим за 15 секунд!
Или оставьте контакты, и мы сами перезвоним
в ближайшее время
акции Акции Запись Запись Доктораt Врачи Record Кейсы
Через удобный мессенджер — ответим за 15 секунд!
Или оставьте контакты, и мы сами перезвоним
в ближайшее время
Написать директору
Если у вас есть вопрос, претензия или предложение к руководству клиники, оставьте своё сообщение в этой форме
Или свяжитесь с нами прямо сейчас
Запишитесь
на бесплатный приём
Через удобный мессенджер — ответим за 15 секунд!
Проконсультируем вас
и зафиксируем скидку

Благодарим за доверие, Orteam ждёт вас с нетерпением!

Мы свяжемся с вами в течение 12 часов, указанным способом.

Ответим на все вопросы и подберём удобное время для консультации.

Планируете ортодонтическое лечение?

Не забудьте подписаться на нашу рассылку и узнать всё самое важное о брекетах и элайнерах за 1 минуту в день.

Добро пожаловать!

Подтвердите, что вы человек. Просто нажмите кнопку "Продолжить"

Есть вопрос? Ответим за 10 секунд

Ассистент Orteam
Тим Онлайн
Ассистент Orteam
Задайте вопрос — ответим за 10 секунд
Помогу разобраться или подберу врача и удобное время
Telegram Max Max
Без записи и обязательств