О чем эта статья
В этой статье мы подробно разберём всё разнообразие брекет-систем: от классических металлических до незаметных лингвальных. Вы узнаете о ключевых различиях между лигатурными и самолигирующими конструкциями, поймёте, как материал влияет на эстетику и эффективность лечения, и сравните стоимость разных вариантов. Особое внимание мы уделим критериям выбора — чтобы вы могли определить, какие брекеты подходят именно для вашего случая, образа жизни и бюджета. Этот материал поможет вам осознанно подойти к началу ортодонтического лечения, понять отличия, плюсы и минусы разных систем и узнать, почему в клинике Orteam отдают предпочтение конкретным проверенным решениям.
Важно разобраться в видах брекет-систем для зубов перед началом ортодонтического лечения. Ведь от брекетов зависит не только стоимость, но и эффективность и комфорт исправления прикуса.
Оглавление
- Что такое брекеты и как они работают
- Когда нужны брекеты?
- Какие бывают брекеты?
- Лигатурные брекеты: цена, особенности, плюсы и минусы
- Самолигирующие брекеты: цена, особенности, плюсы и минусы
- Лигатурные или самолигирующие брекеты выбрать?
- Место установки брекетов
- Вестибулярные или лингвальные брекеты?
- Материал брекетов
- Металлические брекеты: стоимость, плюсы и минусы
- Керамические брекеты: цена, плюсы и минусы
- Сапфировые брекеты: цена, плюсы и минусы
- Редкие материалы брекетов
- Как выглядят брекеты
- Какие брекеты лучше ставить?
В этой статье мы расскажем, какие типы брекетов существуют, что популярно, а главное – максимально эффективно в 2025 году. Эта статья поможет вам быстро разобраться в видах брекетов и, при необходимости, более подробно изучить интересующие вас подробности.
Что такое брекеты и как они работают
Брекет-система — несъёмная ортодонтическая аппаратура, предназначенная для исправления неправильного прикуса и других зубочелюстных аномалий. Система состоит из замков (брекетов). Под давлением дуги, изготовленной из специального сплава, зубы перемещаются в нужном направлении согласно плану, разработанному ортодонтом.

Для достижения оптимальных результатов проводятся регулярные активации брекет-системы: замена дуг на более жёсткие и установка дополнительной аппаратуры, при необходимости. Различные виды брекетов требуют разных интервалов для оптимального хода лечения. Подробнее о принципах работы брекет-системы читайте в этой статье.
Когда нужны брекеты?
Если вы ещё не определились, начинать ли ортодонтическое лечение, обязательно читайте эту статью. Из неё вы узнаете, как красивая улыбка влияет на вашу успешность, а правильный прикус — один из определяющих факторов того, сохранятся ли ваши зубы на всю жизнь.
Какие бывают брекеты?
Типов, видов и марок брекетов множество. Чтобы было проще разобраться, разделим их на категории:
- лигатурные или самолигирующиеся брекеты - по методу крепления дуги в брекетах;
- керамические или металлические - по материалу;
- лингвальные или вестибулярные - по расположению на зубах.
Разновидности брекетов по методу крепления дуги
Лигатурные брекеты: цена, особенности, плюсы и минусы
Главное преимущество лигатурных брекетов — их цена. Простая конструкция делает их значительно доступнее, чем самолигирующие системы, поэтому именно их чаще предлагают в акциях «брекеты за 10–20 тысяч». Однако итоговая стоимость сильно зависит от политики клиники — разница может быть совсем небольшой, если плановые приёмы дорогие или лечение затянется.
По эффективности всё решает опыт врача. При работе с лигатурными брекетами важно, насколько точно дуга зафиксирована в пазу — от этого зависит движение зубов. Без уверенных навыков ортодонта такая система может доставить больше хлопот, особенно на этапе долечивания.
Лигатурные брекеты требуют визитов к врачу каждые 3–4 недели и более тщательного ухода. На эластических лигатурах оседает налёт, зато сами брекеты тоньше и менее заметны. Комфорт пациента во многом зависит от внимательности ортодонта, ведь неправильно установленная лигатура может вызвать серьёзный дискомфорт. Надёжность системы тоже в руках врача: лигатуры могут ослабнуть, порваться или недостаточно удерживать дугу, влияя на сроки и качество лечения.
Самолигирующие брекеты: цена, особенности, плюсы и минусы
Самолигирующие (безлигатурные) брекеты — технологически сложнее и дороже лигатурных, но внутри этой категории цена может различаться в несколько раз и не всегда отражает реальное качество. Есть и более доступные аналоги известных систем вроде Damon (Даймон), Empower или H4 — менее раскрученные бренды или китайские версии, например Protect, который в Orteam показывает отличные результаты. При выборе важно учитывать не только стоимость установки, но и цену последующих приёмов — в итоге лечение на самолигирующих брекетах часто оказывается выгоднее, особенно для тех, кто ценит время.
Эффективность самолигирующих систем напрямую связана с опытом ортодонта, но в целом они надёжнее фиксируют дугу и меньше зависят от человеческого фактора. За счёт особенностей конструкции такие брекеты требуют меньше времени на приёмах и позволяют увеличивать интервалы между активациями — в среднем до 6–8 недель, что удобно для пациентов при современном ритме жизни. При двухлетнем лечении это даёт меньше визитов и практически компенсирует разницу в цене установки.
С точки зрения комфорта самолигирующие брекеты выигрывают: меньше эластических элементов — проще уход и гигиена, особенно с ирригатором. Конструкция надёжно фиксирует дугу, снижая риск поломок и внеплановых визитов. Главное — выбрать проверенную систему с устойчивым механизмом крышки, и лечение пройдёт максимально стабильно и предсказуемо.
Лигатурные или самолигирующие брекеты выбрать?
Главное при выборе брекет-системы — доверие к своему ортодонту. Лигатурные и самолигирующие брекеты требуют разного подхода: если врач не владеет нужными знаниями и мануальными навыками и опытом работы с конкретным типом брекетов, лечение может затянуться и стать сложнее. Многие специалисты предпочитают работать только с привычными им системами, и в этом нет ничего плохого — главное, чтобы ортодонт чувствовал себя уверенно в выбранной технологии.

Стоимость лечения зависит не только от цены самих брекетов, но и от частоты визитов. Если в вашей клинике разница в цене между системами значительная, а плановые приёмы недорогие, лигатурные брекеты могут стать более экономичным вариантом — при условии, что врач опытен и план лечения составлен грамотно.
|
Критерии |
Лигатурные брекеты |
Самолигирующиеся брекеты |
|
Стоимость |
Более доступная цена за саму систему |
Выше, но итоговые расходы на лечение могут выровняться |
|
Результативность |
Зависит от мастерства врача-ортодонта. При его недостаточной квалификации, результат может быть неудовлетворительным |
Позволяют достичь предсказуемого результата. При грамотном подходе врача обеспечивают максимальную точность коррекции |
|
Длительность лечения |
Необходимость посещений каждые 3-4 недели. Возможны увеличения сроков из-за меньшей надежности |
Визиты к ортодонту реже — раз в 4-6 недель, в некоторых случаях интервал достигает 8-10 недель |
|
Удобство |
Более компактные |
Более простой уход, меньше риск возникновения неприятных ощущений при ношении |
|
Прочность конструкции |
Лигатуры могут растягиваться и слетать, требуя внеплановых визитов |
Более стабильная конструкция, риск поломок ниже (зависит от производителя) |
Итоговый выбор стоит делать, исходя из практических соображений: обе системы способны привести к отличному результату при правильном использовании. Однако в Orteam мы лечим только на самолигирующих брекетах — они сокращают количество визитов и экономят время пациентов, не снижая эффективности лечения, подробнее читайте в этой статье.
Виды брекетов по месту установки
Вестибулярные или лингвальные брекеты?
Здесь всё решает место установки: снаружи или изнутри зубного ряда. Вестибулярные — классический и самый распространённый вариант, более 90% рынка. Они бывают металлическими, керамическими, сапфировыми, лигатурными и самолигирующими, что делает их универсальными. Это надёжная, проверенная временем система, комфортная в ношении и доступная по цене. Единственный недостаток — заметность, частично решаемая эстетичными материалами.
Лингвальные брекеты, напротив, устанавливаются с внутренней стороны зубов, делая лечение полностью незаметным для окружающих. Однако их минусы перевешивают плюсы: они сложнее в установке и обслуживании, значительно дороже и часто вызывают нарушения дикции и длительный дискомфорт. Даже самые современные модели вроде Incognito или Win уступают классическим системам по эффективности и удобству, а их стоимость и сроки изготовления неоправданно высоки.

В Orteam лингвальные брекеты не используются: их функции полностью заменили элайнеры — прозрачные каппы, которые не видны, комфортны и позволяют добиться отличного результата без проблем, характерных для лингвальных систем. Поэтому, если важна эстетика, лучше рассмотреть элайнеры как современную и более практичную альтернативу. Если вы пока не определились с аппаратурой, обязательно прочитайте эту статью.
Классификация брекет-систем по материалу
Выбор материала для брекет-системы — одно из важных решений перед началом лечения. От него зависит не только эстетика, но и комфорт, надёжность, стоимость и даже эффективность лечения.
Металлические брекеты: стоимость, плюсы и минусы
Металл — классика ортодонтии. Он максимально эффективен, надёжен и компактен. Такие брекеты отлично фиксируют дугу, обеспечивая предсказуемое движение зубов. При этом, они самые доступные по цене и универсальны: подходят почти всем. Минус — заметность. Однако для многих пациентов металлические брекеты становятся символом осознанного выбора: в них комфортно и даже модно.
- Плюсы: эффективность, надёжность, минимальный размер, невысокая стоимость.
- Минусы: визуальная заметность, редкие случаи аллергии на никель.
Керамические брекеты: цена, плюсы и минусы
Керамика — выбор тех, кто хочет, чтобы брекеты были менее заметны, но при этом работали эффективно. Эти брекеты хорошо фиксируют дугу, но из-за хрупкости материала лечение может занять несколько больше времени. В Orteam используется комбинированный подход: керамика ставится на передние верхние зубы, металл — на остальные. Это позволяет снизить заметность брекетов, сохранив надёжность и не слишком увеличивая сроки и стоимость лечения.
- Плюсы: эстетичность, гипоаллергенность, устойчивость к окрашиванию при правильном уходе.
- Минусы: хрупкость, повышенные требования к гигиене, возможность изменения цвета при плохом уходе.
Наша подробная статья со сравнением керамических и металлических брекетов тут. Какие брекеты самые эффективные и дают максимум результата на каждый вложенный рубль? Читайте в статье!

Сапфировые брекеты: цена, плюсы и минусы
Сапфировые брекеты — эстетика на максимуме. Изготовленные из искусственного сапфира, они прозрачны и почти сливаются с зубами. Однако их хрупкость и сложность в работе делают лечение дольше и менее предсказуемым. Дуга в таких системах держится хуже, а лигатуры рвутся чаще.
- Плюсы: высокая прозрачность, визуальная лёгкость, красиво выглядят даже на тёмной эмали.
- Минусы: высокая хрупкость, отсутствие самолигирующих моделей, ограниченный выбор брендов.

Редкие материалы брекетов
Пластик, титан и золото — нишевые решения. Пластиковые брекеты дешёвые, но неэффективные и ненадёжные. Титановые подойдут тем, у кого есть подозрение на аллергию — они гипоаллергенны, но дороже и встречаются редко. Золотые брекеты — скорее элемент стиля, чем функциональный выбор: прочность на уровне металла, но и цена соответствующая.
- Плюсы: индивидуальность, эстетика (в случае золота), гипоаллергенность (в случае титана).
- Минусы: высокая стоимость, ограниченный выбор, низкая надёжность у пластиковых моделей.
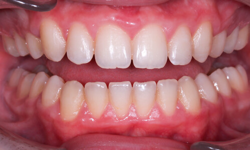
Как выглядят брекеты
В этом разделе представлены все ключевые типы брекет-систем для того, чтобы вы могли визуально понять, как будут выглядеть те или иные брекеты на зубах.
Керамические+металлические и просто металлические брекеты
Лигатурные и лингвальные брекеты
Какие брекеты лучше ставить?
Если коротко — лучших для всех брекетов не существует. Есть лучшие для вас, под ваш запрос, клиническую ситуацию и ритм жизни. Очень подробную статью на этот счёт написала Волянская Людмила, прочитав её, вы 100% определитесь с выбором.
В Orteam мы прошли через десятки систем и оставили только те, что доказали свою надёжность и эффективность на практике. Для нас это особенно важно, так как стоимость и сроки лечения фиксируются в договоре и мы не можем позволить себе терять эффективность из-за сомнительных брекетов.
По совокупности факторов, наш топ-1 — пассивные самолигирующие металлические брекеты. Они оптимально удерживают дугу, обеспечивают плавное скольжение и сокращают количество визитов к врачу. В Orteam используются Protect и Damon Q2 — проверенные системы, подходящие под решение любых задач.
Парадокс: самые дорогие брекеты не всегда дают лучший результат. Особенно, это относится к лингвальным брекетам и сапфировым брекетам. Если вы маньяк эффективности и соотношения цена/качество — ваш выбор металлические пассивные самолигирующие брекеты. Если важна эстетика — комбинированная система металл + керамика на передние верхние зубы. Если же приоритет — полная незаметность, ваш выбор — элайнеры, которые в 2025 году подходят в 80% случаев. А как выбрать самые крутые, читайте в этой статье.

В Orteam мы не торгуем брекетами — мы создаём улыбки. Поэтому, в нашем прайсе всего две брекет-системы и мы никогда не настаиваем на установке каких-то конкретных брекетов или элайнеров.